センター長 岩下孝粋
「足」とは膝を含まない膝下から足先までのことを指し、当院では、骨・関節や筋肉・靭帯・腱および神経などに起因する疾患に対して、専門的な診療を行っています。当センターでは、「足」のトラブルに対する解決の一端を担っています。
| 外傷 | 骨折、靭帯損傷、アキレス腱損傷、腓骨筋腱脱臼 |
|---|---|
| 慢性疾患 | 変形性足関節症、外反母趾 |
| 小児の足部疾患 | 内反足 |
| その他の疾患 | 足根管症候群、足根骨癒合症、リウマチ足 |
※上記はあくまで代表的な疾患であり、基本的には「足」に関する整形外科疾患全てが専門領域になります。
臨床症状や理学所見および、X線・CT・MRIなどの画像診断に基づき治療法が選択されます。治療法としては、保存療法と手術療法に分けられます。
保存療法とは手術を行わない治療のことで、筋力トレーニング・ストレッチなど運動療法や、内服・外用薬などの薬物療法、超音波治療や体外衝撃波治療などの物理療法、そして装具療法などがあります。
手術療法では、変形した関節の固定や骨の矯正、断裂した靭帯や腱の縫合および再建など、病態に応じた方法によって処置が行われます。手術の内容によっては、手術後に固定具を使用することや松葉杖などを用いて免荷をすることがあります。
| 2020年度 | 2021年度 | 2022年度 | 2023年度 | |
|---|---|---|---|---|
| 足関節周囲・足部の骨折 | 76 | 73 | 55 | 63 |
| 腱・靭帯関連 | 26 | 13 | 17 | 33 |
| 関節形成・固定・骨切り | 52 | 37 | 51 | 50 |
| その他(神経剥離, 腫瘍摘出, 抜釘,etc…) | 97 | 100 | 83 | 91 |
| 合計 | 251 | 223 | 206 | 237 |

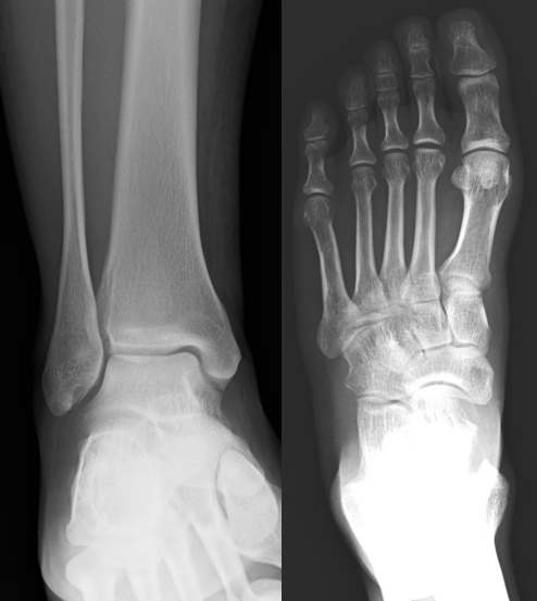
図1.正常な足関節正面(左)と足部(右)のX線画像。

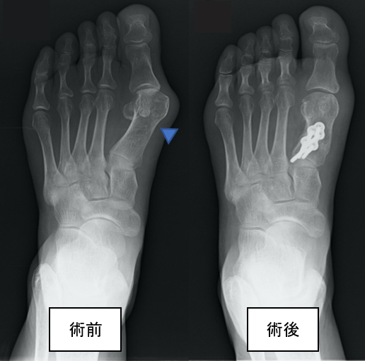
図2.外反母趾の骨切り術前後のX線画像。
術前では、第一中足骨と呼ばれる骨が大きく内側に向いており、母趾が外反しています(▲)。
術後は、骨切りによって変形が強制されています。

図3.変形性足関節症の固定術前後のX線画像。
術前では、軟骨のすり減りや変形によって関節の隙間がなくなっているのが確認できます(▲)。
術後は髄内釘によって関節が固定されています。