近年、医学機器と病態解明の進歩と共により低侵襲でより繊細な手術手技が求められています。本院においてもこれまで、積極的に関節鏡を用いた手術を行って来ましたが、2017年4月より新しいセンターとして集約化しさらなる技術向上と効率化を目指すこととなりました。

【図1 腱板断裂の診断(MRIと超音波)】
腱板とは、肩関節を回旋させる腱が板状に上腕骨を包み込んでいる腱です。(腱とは骨と筋肉をつなぐもの、ex; アキレス腱)いわゆるインナーマッスルです。
症状としては、痛み、おもだるさ、引っかかり、挙がらない、力が入らない、など様々です。治療方法は患者さんの状況により異なります。まずは患者さんの症状とレントゲン、超音波、MRI検査などで正しい診断を行います。(単に50肩ではない場合も多数あります)。超音波検査は迅速に腱板断裂を診断できる優れた診断方法です。(図1)全ての腱板断裂に手術が必要でありませんが、同時に手術を早期にした方が良い場合もあります。手術方法は関節鏡を中心に最小侵襲の術式を行なっています(図2)。さらに、関節鏡のみならず、直視下手術、人工関節など様々な選択肢があり最も適切なものを選ぶべきと考えています。当院では様々な状況に対応できる知識と技術を持って患者さん一人一人の正確な診断と最適な治療方法を選択できるように診療しています。

【図2 関節鏡による腱板修復術】

【図3 関節鏡による肩関節脱臼手術(前方)】
脱臼が生じると、骨、靭帯(関節包)が壊れます。そのまま放置すると壊れた部分がさらに大きくなることがあります。初期の段階では関節鏡により壊れた骨、靭帯を修復してくることが可能です(図3、4)。スポーツ選手の場合には早期復帰、復帰後の改善度を考えると重症化する前にしっかりと解剖学的に修復することが望ましいと考えます。特にラグビーやアメリカンフットボール、柔道、レスリング、アイスホッケーのような衝突を繰り返す可能性のあるスポーツにおいては十分な戦略を持った治療が満足する結果を出せると考えます。

【図4 関節鏡による肩関節脱臼手術(後方)】

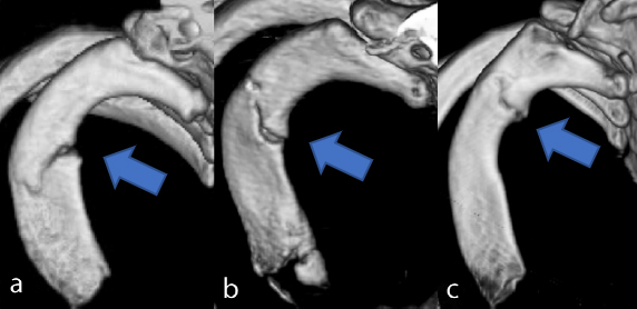
【図5 投球動作による第一肋骨疲労骨折(Funakoshi et al. JBJS 2019より)】
これまで、スポーツによる肩関節障害は、様々な治療が試みられていますが、十分な成果を挙げているとは言い難く、肩の痛みによりスポーツを断念する選手は未だ数多く存在します。そもそも適切な診断がされていない場合が多いため、当院では、肩の痛みを診断から見直し、関節外における隠された神経症状(胸郭出口症候群や四辺形症候群など スポーツ医学センター、胸郭出口症候群センターの項参照)、疲労骨折(図5)など、さらに関節内における関節唇(SLAP修復 図6)、関節包の損傷を把握することで、適切な治療を目指しています。スポーツ医学センター、リハビリ科とも連携して早期かつ元のレベルへの現場復帰をサポートします。

【図6 関節鏡によるSLAP修復(左肩を後方から見る)】

【図1 MRIでみえる前十字靭帯】
膝前十字靭帯は大腿骨(太ももの骨)、脛骨(すねの骨)をつないでいる靭帯です。大腿骨と脛骨がずれるのを防いでおり、膝関節の安定性に重要な役割をしています。前十字靭帯損傷はスポーツでおこる頻度の高いけがの1つです。バスケットボールやサッカーなどのジャンプ着地時と方向転換、柔道やラグビーでの接触時に起こります。多くはジャンプ着地や方向転換で膝がつま先より内側にはいる姿勢で損傷するといわれています。前十字靭帯を損傷すると激しい痛みとともに断裂音が生じ膝に力が入りづらくなります。診断はMRIやレントゲンの画像と医師による徒手検査で確定します(図1)。前十字靭帯は血液の流れが乏しく、一度断裂すると自然に修復することはほとんどありません。そのためスポーツ選手を中心に多くの方に手術療法が適応となります。また前十字靭帯損傷に伴い半月板損傷を合併することが多く、放置すると変形性膝関節症に移行する恐れがあります。
前十字靭帯断裂直後は激しい痛みとともに断裂音を生じますが、歩ける場合も少なくありません。靭帯の断裂によって関節内で出血が起こるため、膝の腫れが生じます。数日間経過すると腫れが落ち着き日常生活はほぼ正常に行うことができますが、走行時や急な方向転換で膝崩れが生じます。そのためスポーツ活動に支障をきたす場合が多くみられます。
前十字靭帯損傷の治療には、手術をしないで治療する保存治療と、切れてしまった靭帯を再び作り直す靭帯再建と呼ばれる手術治療があります。
保存治療では、前十字靭帯損傷の受傷後、約2週間のギブス固定の後、膝の動きを獲得するための関節可動域練習や、体重をかける練習などを開始します。前十字靭帯を損傷すると膝関節の安定性が低下し膝崩れが生じます。そのため、膝関節の安定性を補うための筋力強化や膝に負担をかけない動作を学習するための運動療法を中心にリハビリテーションを行います。またサポーター(装具)やテーピングなどを使用する場合もあります。当院では、保存治療の適応は受傷後2週間以内の患者さんに限定されます。また、断裂形態により適応とならないことがあります。なお、スポーツを行う際の不安定性は残存することが多く、手術治療に移行する場合もあります。

【図2 関節鏡でみえる前十字靭帯】
日常生活で膝崩れが起きるなどの不安定感がある場合や、スポーツでの不安定感が強く活動困難となる場合は、手術治療の適応となります。手術治療は、関節鏡にて行われ、自家腱と呼ばれる自身の腱を用いて靭帯再建が施行されます(図2)。前十字靭帯の再建は、半腱様筋のみを用いるST法や半腱様筋に加えて薄筋を用いるSTG法、または膝蓋腱の一部を採取して用いるBTB(bone tendon bone)法が一般的に行われます。ST法(STG法)を用いるのかBTB法を用いるのかは、スポーツの種類や過去の既往歴などで判断されます。また当院では、靭帯再建後に再度靭帯損傷してしまった方で、膝の不安定感が強い場合に、前外側靭帯と呼ばれる靭帯の再建を、人工靭帯を用いて行っております。前外側靭帯は膝の回旋に寄与しているとされており、再建することでより安定性が獲得されると考えられています。また、前十字靭帯の断裂に伴い半月板損傷も合併していることが多くあります。その場合、半月板も同時に処置を行います。
当院では、前十字靱帯再建術後は、約1週で荷重と可動域訓練を許可し、徐々に負荷量を上げていき、6ヶ月以降でスポーツ復帰を目標としております。再建した靭帯は、徐々に強度を増していくためスポーツ復帰までに一定の期間を要します(図3)。また、手術後は再断裂するリスクもあることなどから、復帰するまでの期間は、筋力トレーニングやストレッチ、動作練習などのリハビリテーションが積極的に行われています。

【図3 手術後のリハビリテーションの流れ】
半月板は膝関節の大腿骨と脛骨の間にある軟骨組織です。半月板は膝関節の内側と外側にあります。内側がC字型、外側はO字型をしており、大腿骨と脛骨の適合を高めます。膝関節におけるクッションとして働き、衝撃を分散させます。
また膝関節の曲げ伸ばしに合わせて半月板も関節内で動くことで大腿骨と脛骨の適合性を維持し、膝関節の角度が変わっても、その役割を果たしています。そのため、半月板が損傷するとその機能が破綻し、膝関節において異常が生じます。
半月板の損傷形態としては、大きく3つに分けられます。
①半月板実質部の損傷
②半月板の付着部の損傷
③半月板の形状が半月ではなく円板状になっていることで症状がでる場合
診断には、症状の経過や診察時の医師による徒手検査やMRIなどが用いられます(図1)。また半月板の損傷にはさまざまなタイプが存在します(図2)。

【図1 MRIでみた半月板】

【図2 半月板の損傷形態】
膝の曲げ伸ばしで引っかかり感や痛みを感じたりします。ひどい場合には、ロッキング症状という急に膝の曲げ伸ばしが出来なくなる状態になります。また、腫れを伴う場合や膝関節に水が溜まることもあります。
一般的に組織が治癒するためには、栄養と細胞等を運搬するための血流が必要です。半月板も同様に、損傷した場合、修復するために血流が必要となります。しかし、半月板は領域によって血流が異なるため、損傷した部位で修復能力が異なります。半月板の血流は外縁に豊富で、内縁に向かうにつれて乏しくなり、また内縁には無血管領域が存在し、血流による組織修復は起こりませんので、修復は望めません。

【図3 関節鏡でみえる半月板】
治療としては、手術をしない保存治療と損傷した半月板に対して処置を行う手術治療があります。損傷形態により治療方法は変わり、断裂していても不安定性がない場合などは保存療法が選択されることもあります。一方で、不安定性があり、引っかかりやロッキング症状がある場合は手術療法が選択されます。
保存療法では、関節内注射や、断裂部に負荷を掛けないように筋力トレーニングやストレッチ、動作練習などの運動療法が行われています。手術治療は、切除術と縫合術に分けられます。半月板には関節のクッションやスタビライザーとしての役割があるため、できる限り温存させることが重要とされています。そのため当院では色々な方法や器具を駆使し積極的に縫合を行なっています。しかし、治癒の見込めない部位の断裂や半月板が引っかかるような断裂、また縫合できない断裂などの場合では、切除術が行われます(図3)。
当院では、半月板切除術後は翌日から荷重を許可し約2~3ヶ月で、縫合術後では一定の免荷期間の後に荷重を許可し約4~5ヶ月でスポーツ復帰を目標としており、それまでの期間は、筋力トレーニングやストレッチ、動作練習などのリハビリテーションが積極的に行われています(図4)。

【図4 半月板縫合術後のリハビリテーションの流れ】
膝のお皿(膝蓋骨)と太ももの骨(大腿骨)は膝蓋大腿関節という関節を形成しています。通常は大腿骨の上をお皿が上下・左右に動いていますが、靱帯や筋肉によってそれぞれの方向へ動きすぎないように制御されています。外傷や先天的な要因が原因でお皿が外れてしまうことがあり、膝蓋骨脱臼と呼ばれています。お皿が外側に外れてしまうことがほとんどで、内側に外れてしまう事はまれです。お皿を外側に外れないように内側から押さえてくれている靱帯を内側膝蓋大腿靱帯(MPFL)と呼び、脱臼によりこの靱帯の機能が破綻します。何度も脱臼を繰り返してしまうことを反復性膝蓋骨脱臼と呼び、この状態になると日常生活でもすぐに脱臼していまいます。受傷後、脱臼したまま病院へ来院することもありますが、通常自然に整復されている事が多いです。脱臼が習慣化して何度も外れてしまうと、軟骨に負担がかかり軟骨を損傷してしまいます。
診断には、症状や診察時の医師による徒手検査、X-P、MRIなどが用いられます(図1)。

【図1 MRIでみた膝蓋骨脱臼】
太ももの内側の痛みと膝の腫れ、膝の曲げ・伸ばしが悪くなってしまうなど動きの制限が出現します。また、動作中にお皿が外れる感覚、外れそうな不安・違和感というような自覚的な症状が出現します。
治療は手術をしないでお皿を外れないようにする保存治療と、手術をしてお皿を外れないようにする手術治療とがあります。

【図2 関節鏡でみえる膝蓋骨脱臼】
保存治療は主に運動療法が行われ、内側広筋と呼ばれる太ももの内側の筋肉をトレーニングすることでお皿が外側に外れないようにします。また、膝・股関節周囲の柔軟性を上げるためのストレッチや、動作が不安定にならないようにバランス練習なども行います。これらに加えて、お皿が再び外れないよう予防的にサポーター(装具)も利用します。一方で、脱臼が習慣化してしまい日常生活でも脱臼してしまうような場合は、手術治療が選択されます。手術治療は、内側膝蓋大腿靭帯(MPFL)と呼ばれる靭帯を作り直す靱帯再建が行われます(図2)。また、脱臼しやすい骨の形態をしている場合は、靱帯再建に加えて骨を切って形態を変えることも行われます。
当院では、MPFL再建術後は、約1週で荷重と可動域を許可し5~6ヶ月でスポーツ復帰を目標としており、それまでの期間は、筋力トレーニングやストレッチ、動作練習などのリハビリテーションが積極的に行われています(図3)。

【図3 手術後のリハビリテーションの流れ】
| 肩関節 | 肘関節 | 手関節 | 膝関節 | 足関節 |
|---|---|---|---|---|
| 196件 | 27件 | 27件 | 219件 | 12件 |
| 腱板修復術 | 脱臼制動術 | その他 |
|---|---|---|
| 144件 | 25件 | 27件 |
| ACL再建術 | PCL再建術 | 半月板切除・縫合 | その他 |
|---|---|---|---|
| 70件 | 2件 | 112件 | 35件 |