当院では、股関節・膝関節・肩関節を中心に人工関節の手術を年間件行っており、手術も年々増加傾向にあります。
センター長 船越忠直(肩関節),草野寛(肘関節),橘田祐樹(股関節),大関健司(膝関節)
中川智之(膝関節)
| 2017 | 2018 | 2019 | 2020 | 2021 | 2022 | 2023 | 2024 | |
|---|---|---|---|---|---|---|---|---|
| 人工股関節全置換術(再置換含む) | 192 | 205 | 254 | 259 | 353 | 380 | 458 | 474 |
| 人工骨頭置換術(股) | 26 | 22 | 21 | 44 | 52 | 43 | 36 | 42 |
| 人工膝関節全置換術(再置換含む) | 244 | 299 | 352 | 312 | 274 | 314 | 445 | 404 |
| 人工膝関節単顆置換術 | 4 | 15 | 14 | 35 | 59 | 92 | 97 | 68 |
| 人工肩関節全置換術 | 3 | 3 | 0 | 1 | 6 | 12 | 4 | 5 |
| リバース型人工肩関節全置換術 | 9 | 9 | 7 | 27 | 33 | 27 | 20 | 27 |

股関節痛は股関節を構成する靭帯や軟骨など様々な原因で生じる可能性があるのですが、以下代表的な疾患をご紹介致します。
変形性股関節症は原因が特定できない一次性と、様々な疾患により関節軟骨が変性・摩耗して生じる二次性に分類されます。わが国では臼蓋形成不全による二次性変形性股関節症が多い傾向があります。
まずは理学療法や投薬治療により疼痛改善と活動度の拡大を目指しますが、関節軟骨が摩耗し骨変形が悪化し疼痛が増悪してしまった末期股関節症に対して、人工関節全置換術を行っております。
特発性大腿骨頭壊死症の発生原因は未だ十分な科学的根拠が得られておらず、国の難病に指定されています。大腿骨頭壊死が起こり、骨頭の圧潰が進行しすると疼痛が増悪します。活動に支障をきたした場合に人工股関節全置換術が必要となります。
わが国では年間約5万件以上の方が手術を受けています。当院でも年間200名を越える方々が手術を受けられており(下表参照)、歩行困難な方が良好な歩行能力を再獲得しています。
一般的な人工股関節はカップ、ライナー、ヘッド、ステムの4つから構成されています(下図参照)。カップとステムは骨に直接強固に固定し、カップとヘッドの間に人工軟骨であるライナーが挿入し手術直後から荷重可能となり、滑らかな動きの再現が可能となります。

【当院における人工股関節全置換術件数の変遷】

【人工股関節のイメージ】
人工股関節全置換術(THA:Total Hip Arthroplasty)には様々なアプローチ法があり、当院では前方アプローチ(DAA:Direct Anterior Approach)を採用しております。前方アプローチは仰向けで手術を行い、股関節前面を10cm程切開し、筋肉を全く切らずに人工股関節を設置する方法です。
最小侵襲手術(MIS:minimally invasive surgery )なので、出血量・脱臼率・その他合併症の確率を下げることができており、手術翌日から離床が可能となります。術後10日から14日で退院を目標としています。
当院では両側変形性股関節症に対して両側同時人工股関節全置換術を積極的に行なっております。一度の入院で手術を安全に終えることができ、経済的にも時間的にも負担軽減につながります。両側同時の手術も片側と同様に術後1日目より離床することができます。リハビリテーションの進行は手術前の状態によって個人差はありますが、退院時には日常生活の質の向上が期待できます。

【X線(左写真:両側末期変形性股関節症、右写真:両側同時人工股関節全置換術後)】
【入院期間】術後2週間退院

手術翌日より歩行器歩行練習を開始し、早期離床を目標としております。リハビリ室では術後の状態に合わせて歩行練習や自宅での生活状況を見据えて階段昇降練習や床上動作練習、浴槽またぎ練習などを行っていきます。
当院の退院目標の基準は歩行が自立し階段昇降練習が可能となる事です。術後約10〜14日を退院目標としております。
世界的には、感染症・深部静脈血栓症(エコノミークラス症候群)・人工股関節の脱臼・手術創周囲の神経障害・術中骨折などが約2%発生する確率があると報告されております。当院ではそれぞれを予防するべく出来る限りの予防策を講じており、合併症発生率を世界基準より低く抑えることを達成しております。
膝の痛みの原因として代表的なのが「変形性膝関節症」と「大腿骨顆部壊死症」です。
膝の軟骨がすり減ることで起こる病気です。
原因には加齢による変化(一次性)と、骨折や代謝性疾患などがきっかけになる(二次性)ものがあります。
特に日本では、加齢に伴う一次性の変形性膝関節症が多く見られます。軟骨が摩耗し、骨にとげのような変化(骨棘)ができ、膝が内側に曲がってしまうことがあります。
太ももの骨の一部(大腿骨顆部)が壊死してしまう病気です。
荷重によるストレスやステロイド薬の影響、半月板損傷後の脆弱性骨折などが原因とされます。壊死が進むと膝関節の痛みや機能障害につながります。
変形性膝関節症・大腿骨顆部壊死症に対する手術の方法については、人工膝関節全置換術(TKA)・人工膝関節単置換術(UKA)・骨切り術(大腿骨・脛骨)の方法があります。 人工関節には両側や片足ずつ手術を行う場合があります。
適応に関しては、主治医と相談して下さい。
当院では、患者さん一人ひとりの状態に合わせて、最適な手術方法を選択しています。
以下の点を考慮しながら、医師が患者さんと相談のうえで決定します。
| 年齢 | 骨切り術(骨を切って脚の角度を矯正する手術)の場合、術後しばらく体重をかけられず、松葉杖での生活期間が必要です。その間に筋力低下が起こりやすいため、高齢の方には不向きとなる場合があります。 |
|---|---|
| 膝の動き (関節可動域) |
|
| 脚のゆがみ (アライメント:X脚・O脚) |
|
次のような点を考慮して判断します。
| 年齢 | 高齢の方は全身の状態に負担がかかってしまうため、注意が必要です。 |
|---|---|
| 心臓病 | 心臓への負担が大きくなるため、片側ずつ行う方が安全な場合があります。 |
| 糖尿病 | 感染リスクや合併症の可能性を考慮します。 |
ただし、高齢の方でも両側同時に手術を行うケースもありますので、担当医とよくご相談ください。
手術方法は「年齢」「膝の動き」「脚のゆがみ」「全身の病気」などを総合的に考慮して決定します。
患者さんが安心して治療に臨めるよう、丁寧に説明しながら最適な方法をご提案いたします。
傷んだ軟骨や骨を取り除き、金属や樹脂でできた人工関節に置き換える手術です。
年間約7万件行われており、年々増加しています。膝の変形やぐらつきを改善し、痛みを和らげることができます。
患者さん一人ひとりの骨の大きさに合わせた人工関節を使用します。

【人工膝関節全置換術に用いる人工関節】

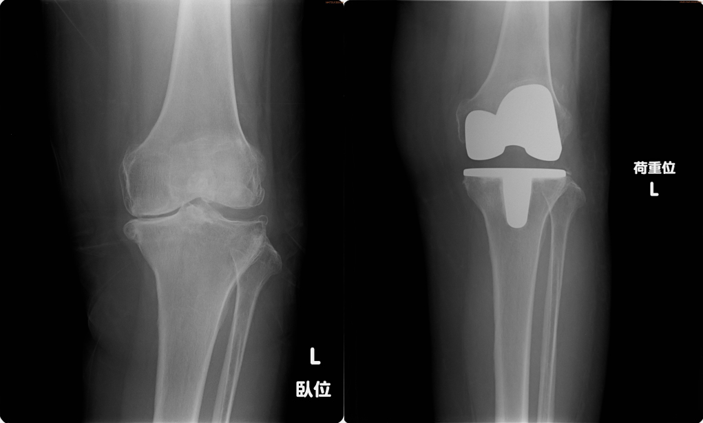
【手術前レントゲン】 【手術後レントゲン】


※両側と片側ともに同じ流れで行います。
| 入院期間 | 3週間 |
|---|---|
| リハビリ期間 | 歩行能力や膝の動きを目標に、最長150日まで実施可能。 スポーツ復帰を目指す方はその目標に合わせて継続します。 |
| 定期検診 |
|


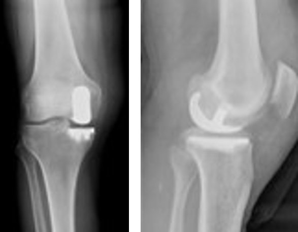
膝関節の一部(内側または外側)を置き換える手術方法であり、人工膝関節全置換術とちがい骨の切除量も半分程度のため侵襲が少なく、回復も早い傾向にあります。ただ適応症例は変形のすくない方、可動域制限がない方、靭帯損傷がない方と全置換術に比較して限られるので、単顆置換術の適応かどうかは医師とご相談ください。

【人工膝関節単顆置換術に用いる人工関節】

【手術後レントゲン】



※両側と片側ともに同じ流れで行います。
| 入院期間 | 2週間 |
|---|---|
| リハビリ期間 | 歩行能力や膝の動きを目標に、最長150日まで実施可能。 スポーツ復帰を目指す方はその目標に合わせて継続します。 |
| 定期検診 |
|
ペダリングエクササイズは、自転車をこぐような動作を利用した運動です。
膝や股関節に大きな負担をかけずに、曲げ伸ばしの運動や下肢の筋力トレーニングを行うことができます。当院ではペダリングエクササイズを積極的に取り入れており、歩行能力の改善に有効であることを確認しています。
階段昇降
跨ぎ動作
床上動作
出血・感染・深部静脈血栓症(血のかたまりによる合併症)・ゆるみと破損・骨折
| 禁煙 | 手術後の合併症予防のため、できるだけ早く禁煙を始めましょう。 |
|---|---|
| 糖尿病管理 | 血糖コントロールが不十分だと感染などのリスクが上がります。 必ず検査を受けてください。 |
| 歯科検診 | お口の健康状態が悪いと感染のリスクが高まります。事前に受診しましょう。 |
| 栄養 | バランスの良い食事を心がけ、鉄分・ビタミン・葉酸をしっかり摂りましょう。 |
| 呼吸練習 | 肺炎や血栓を防ぐため、呼吸訓練を続けてください。 |
| 皮膚のケア | 清潔を保ち、水虫や爪の異常がある場合は皮膚科を受診しましょう。 |
二次性の変形性肩関節症は、腱板断裂などが誘因となり発症します。肩周囲の痛みや可動域制限を伴うため日常生活動作が非常に困難となります。
腱板断裂・変形性肩関節症・骨折の方が対象となり、腕の骨(上腕骨)と器の骨(肩甲骨)の凹凸に合った形のもの(人工肩関節)と、凹凸を逆転させた形のもの(リバース型人工肩関節)があります。両手術ともに大きな差はありません。
人工肩関節

【手術前レントゲン】 【手術後レントゲン】
リバース型人工肩関節

【手術前レントゲン】 【手術後レントゲン】
【入院期間】2〜4週間(入院期間は手術内容により一部異なります)

感染、神経麻痺、脱臼などが挙げられます。
退院後は定期的に健診を促しております。その理由として、痛みなどの自覚症状がなくとも人工関節に緩みや摩耗などの異常がある可能性があります。早期発見・早期治療を目的としております。
また、痛みの増悪や新たな症状が出現している場合は定期検診の時期に限らず受診することをお勧めします。